Radiology Spotters Collection

Pulmonary embolism diagnosis : What else the radiologist MUST report!

Bookmark
Please login to bookmark Close

Pulmonary embolism diagnosis : What MORE does the radiologist need to report!

Pulmonary embolism diagnosis :

I had posted this case for discussion in our radiology group and most of the radiology residents were able to pick up finding. But is there more than meets the (radiologistโ€™s) eye? Read on to find out. You can skip the detailed explanation and jump to the conclusion but I would suggest you read on. No harm in revising!

Introduction

Pulmonary embolism is a potentially life-threatening condition and is the third most cardiovascular condition causing death, following myocardial infarction and stroke. Clinical symptoms and risk factors for pulmonary embolism are discussed in detail elsewhere, we shall discuss the imaging features.

Radiographs:

  • Not reliable for pulmonary embolism diagnosis, owing to poor sensitivity and specificity.
  • Help to rule out other causes of chest pain like pneumothorax and pneumonia.
  • Important from an academic reason as few examiners still like to ask named signs of pulmonary embolism (WHY!). I have mentioned a few mnemonics for remembering these. ย 
    • Hampton hump: peripheral wedge-shaped opacity corresponding to infarct
    • Fleischner sign: Prominent pulmonary artery (FLUSHED pulmonary artery).
    • Westermark sign: Regional oligaemia ย (reduced marks).
    • Palla sign: Enlarged right descending pulmonary artery (PA prominent).
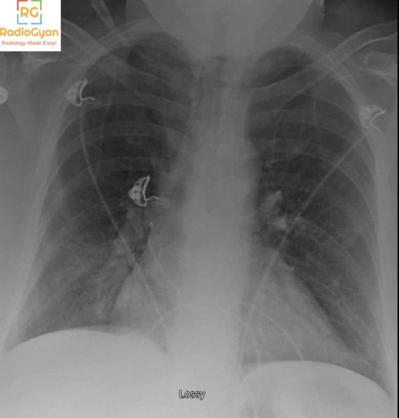
Pulmonary embolism diagnosis : Palla sign
Palla sign: Prominent right descending pulmonary artery

 

Pulmonary embolism diagnosis : Hampton Hump
Hampton Hump: Peripheral wedge-shaped opacity corresponding to infarct.

 

Conventional Pulmonary Angiography:

  • Highly sensitive and specific.
  • Not feasible in all patients.
  • Reserved in patients where endovascular treatment is planned.

 

MRA:

 

Nuclear Medicine: Ventilation-perfusion scanning

CT pulmonary angiography:

  • Has replaced conventional pulmonary angiography as the reference standard for pulmonary embolism diagnosis because of its ease of performing and high sensitivity and specificity.
  • Additional screening for lower limb DVT can be performed as well.
  • Offers alternative diagnosis when pulmonary embolism is absent.
  • CT pulmonary angiography protocol:
    • Multidetector CT is preferred (at least 16 slices)
    • Caudal-cranial direction: Most emboli are located in the lower lobes and, if the patient breathes during image acquisition, there is more excursion of the lower lobes compared with the upper lobes.
    • IV access: 18- or 20-gauge catheter is preferred.
    • Pulmonary embolism-specific window: Window width, 700; window level, 100ย 
    • Detailed protocols can be accessed in this AJR article and here.
  • Diagnosis is straightforward in most cases.
  • Criteria for pulmonary embolism diagnosis:
    • Acute Pulmonary Embolism
      • Arterial lumen occlusion with failure to enhance with/without dilatation of the artery.
      • MIP images are good for diagnosis and documentation, especially coronal views (refer image below).
      • Partial filling defects:
        • โ€œpolo mintโ€ sign: transverse view
        • โ€œrailway trackโ€ sign: longitudinal view.
      • Lung parenchyma findings
        • Peripheral wedge-shaped hyperdense areas and linear bands.
Pulmonary Embolism Diagnosis: Coronal MIP
Coronal MIP images depicting acute pulmonary embolism as filling defects

Have a look at the first image once again now. The RV: LV ratio is more than one and there is flattening of the interventricular septum suggestive of right ventricular strain indicating a poor prognosis. More than what meets the eye!ย 

Pulmonary embolism diagnosis : What MORE does the radiologist need to report!

  • Chronic Pulmonary Embolism

    • Complete occlusion of a vessel that is smaller in caliber than adjacent patent vessels
    • A peripheral, crescent-shaped intraluminal defect that forms obtuse angles with the vessel wall
    • Thickened smaller caliber arteries due to recanalization
    • Secondary signs
      • Extensive collateral vessels
      • Mosaic perfusion pattern
      • Calcification within eccentric vessel thickening
    • Ancillary findings:
      • Pulmonary arterial hypertension: PAD diameter > 33mm or more than the adjacent ascending aorta.
      • Pericardial effusion.

 

Flowchart for evaluation of Pulmonary embolism Courtesy http://www.imagingpathways.health.wa.gov.au/

Pulmonary embolism differential diagnosis and mimics that can be diagnosed on CT:

  • Pericarditis,
  • Acute myocardial infarction,
  • Aortic dissection.
  • Esophagitis
  • Esophageal rupture m
  • Pneumonia
  • Lung cancer
  • Pleural disease
  • Chest wall abnormalities such as rib fractures and metastatic deposits.

 

Evaluation of deep venous thrombosis:

  • In the acute setting pulmonary artery embolism determines the cardiopulmonary status and mortality, however, the major risk of death is from recurrent PE. Hence evaluating abdominal and lower limb veins is essential for prognosticating patients with pulmonary embolism.
  • Clot burden can be assessed by CT venography of the lower limbs in the same sitting or using US Doppler.

Pulmonary embolism treatment

Reporting template for CT pulmonary angiography from RadReport:

Intravenous contrast (agent and volume): [ย ย ย ย ย ย ]

Clinical information
[ย ย ย ย ย ย ]
Comparison
[None. ]
Findings
Diagnostic quality: [Adequate | Suboptimal | Nondiagnostic]
Pulmonary embolism: [None. ]
Right heart strain: [None. ]
Pulmonary arteries: [Normal in caliber. ]
Lung parenchyma: [Normal. ]
Pleural effusion: [None. ]
Central airways: [Normal. ]
Adenopathy: [None. ]
Heart and great vessels: [Normal. ]
Upper abdomen: [Normal. ]
Bones: [Normal. ]
Impression
[No acute or chronic pulmonary embolism. ]

Conclusion:

Pulmonary embolism diagnosis on CT pulmonary angiography is quite straightforward. Radiologists should also report additional findings that help prognosis, including the presence of right heart strain. It is essential to be a CLINICAL radiologist ourselves than writing “Clinical correlation is suggested”.ย 

Companion radiology case quiz:

What is your diagnosis in this patient presenting with acute chest pain and breathlessness? You can answer in the comments or in theย radiology group

Pulmonary embolism diagnosis : Quiz case
Diagnosis?

Here is the answer!ย 

More resources for thoracic imaging:

 

References and further reading:

Edited by Dr. Iranna M Hittalamani

4 thoughts on “Pulmonary embolism diagnosis : What else the radiologist MUST report!”

  1. Dr/ Mariam Ali

    PA chest radiograph of adult patient with over-penetration
    it shows vertebral fixation for T10 to L2 by nails and plates
    the cardio/thoracic ratio is slightly increased for correlation with echocardiography
    right calcified hilar LN
    Normal both lung fields
    no pleural effusion
    central mediation structures
    both diaphragmatic copulae are smooth and normal in position
    the bony thoracic cage show no gross abnormalities

    1. Dr Amar Udare

      Great description Dr. Mariam! However, you have missed the most important finding.

  2. Karla Romo

    Cemnt from vertebra plasy in right pulm artery embolism

Leave a Comment

Your email address will not be published. Required fields are marked *


Wish to be a BETTER Radiologist? Join 15000 Radiology Colleagues !

Enter your email address below to access HIGH YIELD radiology content, updates, and resources.

Email Newsletter Subscription Pop Up

No spam, only VALUE! Unsubscribe anytime with a single click.

Scroll to Top