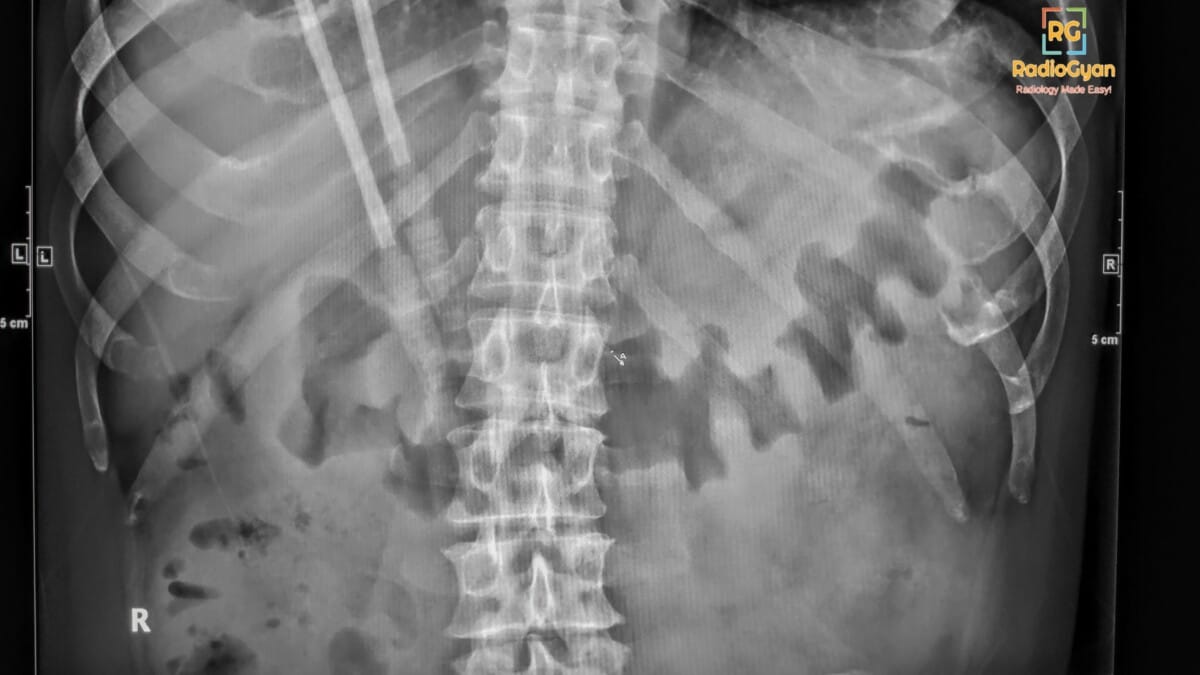
What causes thumbprinting in the large bowel on plain radiography?
Let me know in the comments.
Click to reveal the answer
Thumbprinting in the large bowel on plain radiography is caused by thickening of the bowel wall, primarily due to submucosal edema that results from inflammation or ischemia. This radiologic sign of bowel wall edema is commonly associated with conditions such as ischemic colitis, infectious colitis (including pseudomembranous colitis), inflammatory bowel disease, and other causes of bowel wall edema like diverticulitis or hemorrhage.

Why is it called so?
It is called “thumbprinting” because the thickened, inflamed haustral folds project inward into the gas-filled bowel lumen on radiographs, resembling rounded impressions similar to thumbprints.
Pathophysiology
The pathological process involves edema and inflammation within the submucosa of the bowel wall, leading to localized swelling and thickening of the mucosal folds. This thickening creates nodular, thumb-shaped protrusions on imaging that indent the bowel lumen, giving the characteristic radiographic appearance known as thumbprinting. It reflects compromised bowel wall integrity often due to ischemia, infection, or inflammation.
