What causes Pawnbrokerโs sign in the thoracic lymph nodes on chest radiographs?
Let me know in the comments.
Click to reveal the answer
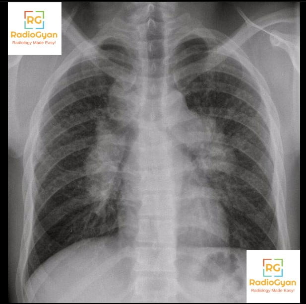
Pawnbrokerโs sign is caused by bilateral hilar and right paratracheal lymphadenopathy, most commonly seen in sarcoidosis. This pattern of lymph node enlargement on chest radiographs reflects granulomatous inflammation within the lymphatic system of the mediastinum and hila.

Sarcoidosis is a multisystem granulomatous disease of unknown etiology that frequently manifests with symmetrical enlargement of these lymph nodes. Bilateral hilar adenopathy is present in approximately 50% of sarcoidosis cases and may be accompanied by right paratracheal node enlargement.
Why is it called so?
It is named “Pawnbrokerโs sign” because the lymph node enlargement pattern resembles the three suspended balls of the traditional pawnbrokerโs symbol, historically linked to the Medici family crest and symbolizing monetary lending. The three nodal groups (right paratracheal, right hilar, and left hilar nodes) seen on chest X-ray correspond visually to the three balls hanging from a bar in the pawnbrokerโs emblem.

Pathophysiology
The sign develops due to granulomatous infiltration and subsequent enlargement of mediastinal and hilar lymph nodes. Sarcoid granulomas accumulate within these nodes causing symmetrical swelling, which projects on chest radiographs as three distinct rounded opacitiesโright paratracheal, right hilar, and left hilar lymphadenopathyโthat mimic the appearance of three balls suspended from a horizontal bar. This triad of lymphadenopathy arises from inflammation-driven lymph node hyperplasia and fibrosis typical of sarcoidosis.
