What causes the small bowel feces sign in the small bowel on CT imaging?
Let me know in the comments.
Click to reveal the answer
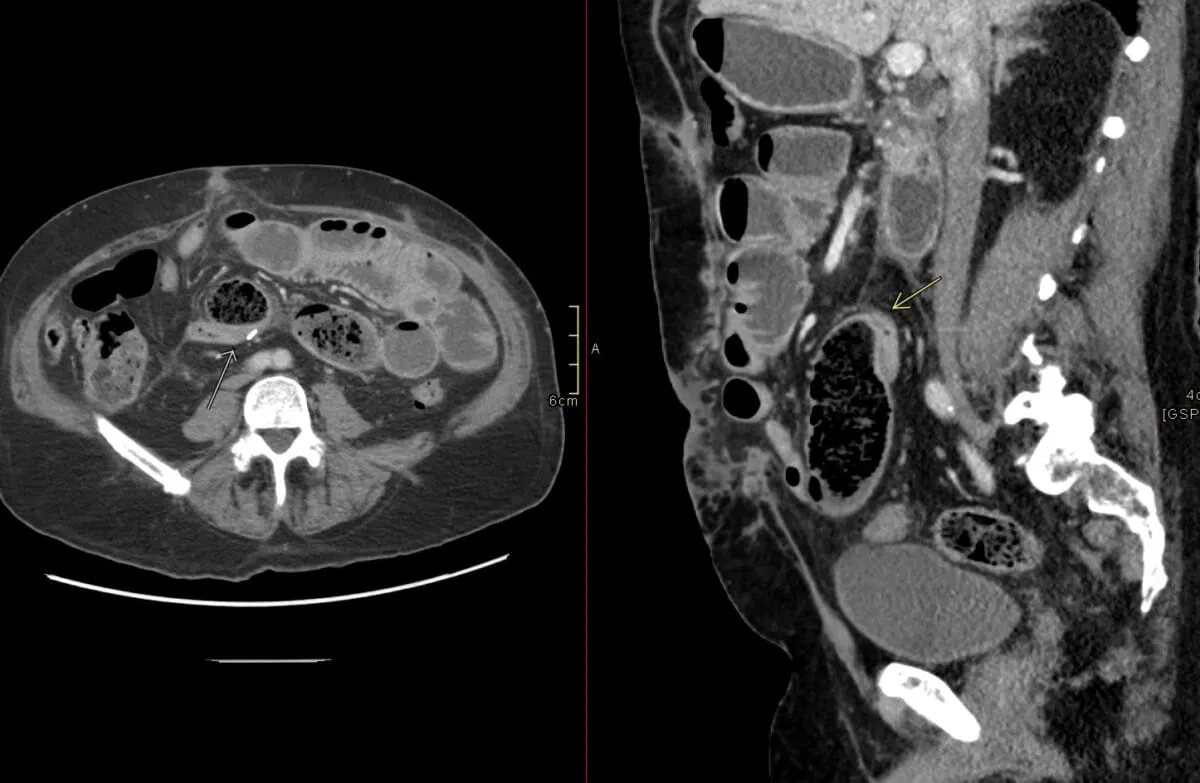
The small bowel feces sign is caused by stasis and dehydration of intestinal contents within dilated small bowel loops, most commonly due to chronic or subacute small bowel obstruction. This sign appears as particulate, fecal-like material mixed with gas bubbles on CT imaging, resembling colonic stool. It often localizes proximal to the transition zone of the obstruction, helping to identify the site and underlying pathology.
While most strongly associated with mechanical obstruction, the sign has also been reported in cases of occlusive mesenteric ischemia, suggesting a broader relationship with impaired bowel motility and prolonged transit.
Why is it called so?
The term “small bowel feces sign” is used because the appearance of the intraluminal contentsโheterogeneous, particulate material mixed with gas bubblesโmimics the typical appearance of feces seen in the colon, despite its location in the small intestine. The designation highlights the radiological similarity to colonic stool, even though the material is actually partially digested food, desquamated epithelial cells, and mucus.
Pathophysiology
This sign develops due to prolonged stasis of enteric contents in dilated small bowel segments, usually caused by chronic or subacute obstruction. Slowed transit allows for progressive dehydration and concentration of luminal contents, leading to the formation of solid, particulate material that resembles feces. This is accompanied by increased absorption of water across the bowel wall, leaving undigested matter to accumulate.
The process requires sufficient time for these physiological changes to occur, hence the association with slow-onset, incomplete, or low-grade obstructions rather than acute, high-grade blockages. In rare cases, similar changes may occur early in acute mesenteric ischemia, possibly due to rapid impairment of motility and vascular supply.

Access all radiology signs posted so far: https://radiogyan.com/radiology-signs/
