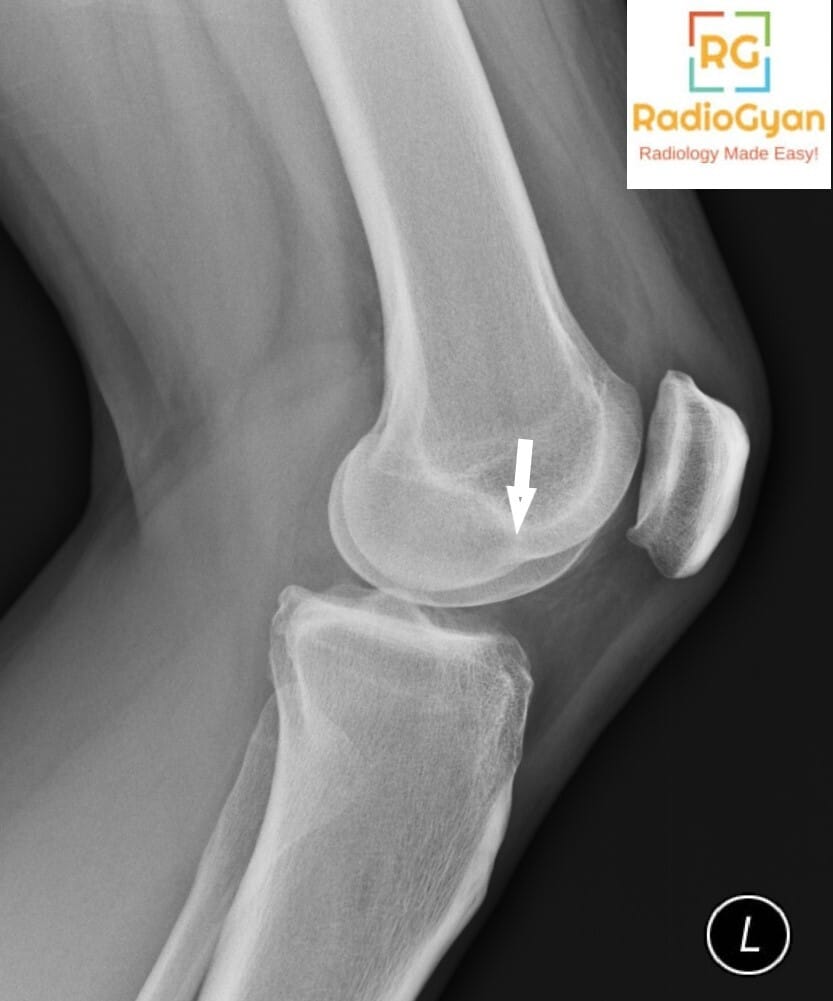
What causes the lateral femoral notch sign in the knee on radiographs or MRI?
Let me know in the comments.
Click to reveal the answer
Answer:
The lateral femoral notch sign is caused by an osteochondral impaction fracture of the lateral femoral condyle typically associated with acute or chronic anterior cruciate ligament (ACL) tears. This sign reflects a bone depression or notch on the lateral femoral condyle resulting from impaction trauma during the injury that causes ACL rupture. It is commonly found in patients with ACL tears and indicates significant bone contusion or fracture of the lateral femoral condyle. Clinically, it is associated with knee instability and ligamentous injury.

Why is it called so?
It is called the “lateral femoral notch sign” because the abnormal finding is a notch or depression on the lateral femoral condyle seen on lateral knee radiographs or MRI. The term describes the visual appearance of an unusually deep notch in the bone contour of the lateral femoral condyle.
Pathophysiology
This sign develops because during an ACL tear, the lateral femoral condyle impacts against the lateral tibial plateau forcefully, causing an osteochondral impression fracture. The resulting bone depression increases the depth of the normal lateral condylopatellar sulcus (lateral femoral notch). This bone contusion and impaction fracture deepen the notch beyond physiologic limits, which can be measured on imaging. The lateral femoral notch sign serves as an indirect indicator of the underlying ligamentous injury and knee instability caused by ACL rupture.

