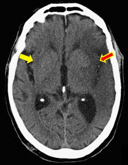
What causes the insular ribbon sign in the brain on computed tomography?
Let me know in the comments.
Click to reveal the answer
Answer: The insular ribbon sign is caused by acute middle cerebral artery (MCA) infarction. It represents the early ischemic edema affecting the insular cortex, a region supplied by the insular segment of the MCA. This ischemic insult leads to loss of the normal gray-white matter differentiation at the lateral margin of the insula, reflecting cytotoxic edema in the brain tissue. Clinically, this sign is associated with acute ischemic stroke in the MCA territory.
Why is it called so?
It is named the “insular ribbon” because the insular cortex normally appears as a thin ribbon of gray matter along the lateral margin visible on CT scans. The sign refers specifically to the loss of this distinct gray-white matter interface, hence the term โloss of the insular ribbon sign.โ

Pathophysiology
Following occlusion of the middle cerebral artery, blood flow cessation leads to ischemia and subsequent cytotoxic edema in the insular cortex. The insula lies in a vascular โwatershedโ zone most distal from collateral flow from the anterior and posterior cerebral arteries, making it highly vulnerable to ischemia. Edema causes the gray and white matter to lose their normal density contrast on CT, resulting in loss of the insular ribbon sign visibility. This early edema is one of the first radiologic signs of acute MCA territory stroke.
