What causes Codman triangle in bone on radiography?
Let me know in the comments.
Click to reveal the answer
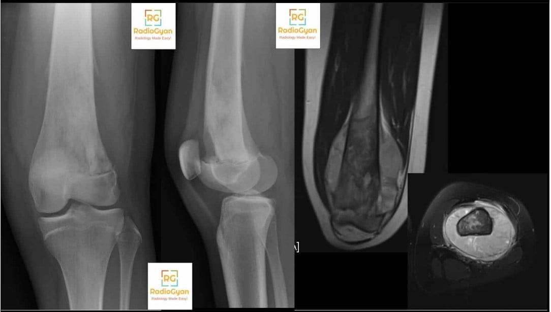
Codman triangle is caused by a rapidly growing lesionโmost often a tumor such as osteosarcoma or Ewing sarcoma, but also possibly infection, hemorrhage, or abscessโthat elevates the periosteum away from the underlying cortex faster than the periosteum can respond with new bone formation. This results in a characteristic radiologic appearance where the periosteum, partially ossified at its margins, forms a triangular or โVโ-shaped reaction visible at the margin of the lesion on imaging modalities. The sign is strongly associated with aggressive bone lesions, including primary bone malignancies (osteosarcoma, Ewing sarcoma, chondrosarcoma), metastatic disease, aggressive benign tumors (aneurysmal bone cyst, giant cell tumor), and osteomyelitis.
Why is it called so?
The term โCodman triangleโ honors Ernest Amory Codman, an American surgeon who described the radiographic finding in the context of Ewing sarcoma in the early 20th century, though the phenomenon was first described by Ribbert in 1914. The name reflects both the triangular radiographic appearance and Codmanโs contribution to its clinical recognition.
Pathophysiology
A Codman triangle forms because an aggressive lesion grows so rapidly that it outstrips the ability of the periosteum to lay down new bone in organized layers. Instead of producing a smooth, continuous periosteal reaction (such as seen in benign, slow-growing processes), the lesion abruptly lifts the periosteum, which then forms a thin shell of new bone at its edges. The central portion of the elevated periosteum does not ossify, creating a two-sided, V-shaped or triangular area of new bone at the junction of the elevated periosteum and the cortexโoften with a third side left open, hence the โtriangle.โ
Alternative names:ย None.
Other associated named signs: None directly associated; however, other aggressive periosteal reactions (e.g., spiculated or โsunburst,โ laminated or โonion-skinโ) may also be present in the same aggressive bone lesions that cause Codman triangle.

Access all radiology signs posted so far: https://radiogyan.com/radiology-signs/
