Miliary Tuberculosis – Radiology Board Review

- Clinical: Any age but more common in young adults and immunocompromised; systemic symptoms including prolonged fever with evening rise, night sweats, weight loss, anorexia, cough; risk factors include HIV/AIDS, immunosuppression, prior TB exposure; name “miliary” refers to millet seed–sized lesions
- Etiology/Pathophys: Hematogenous dissemination of Mycobacterium tuberculosis from a primary or reactivation focus causing widespread seeding of lungs and other organs; granuloma formation with caseous necrosis
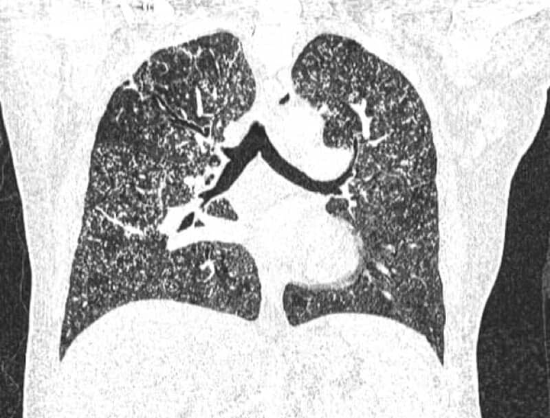
- Radiograph: Bilateral, diffuse, uniformly sized (1-2 mm) micronodular “miliary” pattern scattered throughout all lung zones; reticulonodular background; early disease may have normal chest X-ray necessitating CT
- US: May detect hypoechoic micronodular lesions in extrapulmonary sites (e.g., liver, spleen) due to disseminated TB granulomas
- CT: Numerous small, randomly distributed, discrete micronodules (1-2 mm) throughout bilateral lungs; typically no zonal predominance; may see associated lymphadenopathy, calcifications, or subtle consolidation; tree-in-bud nodularity may be present indicating endobronchial spread
- MRI: Limited role in pulmonary imaging; may detect miliary lesions as small nodules with variable signal intensity on T2-weighted sequences in lungs or involved extrapulmonary organs
- Nuc Med: FDG-PET shows diffuse increased uptake in miliary nodules and involved lymph nodes; useful for evaluating disease extent and response to therapy
- Signs: Miliary pattern characterized by innumerable tiny, uniform nodules resembling millet seeds distributed diffusely without zonal predilection; absence of cavitation differentiates from post-primary TB
- Frameworks: No uniform diagnostic criteria; diagnosis based on clinical symptoms consistent with TB, characteristic miliary pattern on imaging, and microbiological/histopathological confirmation; CT recommended if chest X-ray inconclusive
- DDx: Sarcoidosis (larger nodules, upper lobe predominance), hypersensitivity pneumonitis (centroacinar nodules, history), pneumoconioses (exposure history, nodules distribution), hematogenous metastases (variable nodule size, different clinical context), fungal infections (clinical and lab correlation)
- Tx: Standard anti-tuberculous therapy with multi-drug regimen (e.g., isoniazid, rifampin, ethambutol, pyrazinamide) for minimum 6 months; longer duration in disseminated or drug-resistant cases; supportive care and monitoring for complications
