Horseshoe Kidney – Radiology Board Review

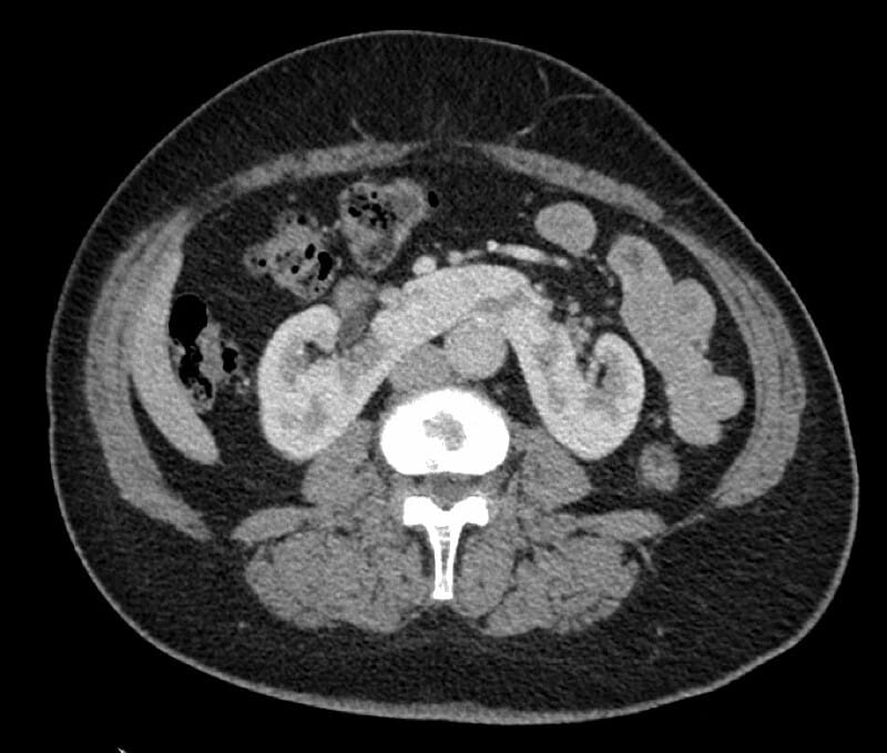
This is an axial CT image showing a horseshoe kidney, characterized by fusion of the lower poles of both kidneys across the midline anterior to the aorta.
- Clinical: Usually discovered incidentally at any age; no sex predilection; may present with abdominal pain, urinary tract infections, hematuria, or palpable mass; congenital anomaly from fetal development
- Etiology/Pathophys: Congenital fusion anomaly caused by abnormal migration and fusion of the lower renal poles across midline anterior to aorta during embryogenesis; isthmus composed of functioning parenchyma or fibrous tissue
- Radiograph: Soft tissue mass on either side of midline with central isthmus visible; kidneys oriented with lower poles medially (reverse rotation); possible visualization of altered renal axis and ectopic location lower in abdomen
- US: Fusion of lower poles forming a midline isthmus anterior to aorta; abnormal renal orientation with inferior and medial displacement; isthmus seen as renal parenchyma anterior to aorta; may be confused with retroperitoneal masses if unrecognized; scanning supine with multiple positions recommended for optimal visualization
- CT: Demonstrates fused lower poles across midline with enhancing renal parenchyma isthmus anterior to aorta; abnormal kidney orientation with medial lower poles; excretory phase shows malrotated pelvicalyceal systems; possible identification of accessory vessels and assessment of complications like PUJ obstruction, stones
- MRI: Similar to CT with clear depiction of fused renal parenchyma across midline and malrotated collecting systems; useful in patients needing radiation avoidance or contrast contraindication; can evaluate surrounding vascular anatomy
- Nuc Med: Radionuclide renal scans detect differential function between moieties; useful for assessing obstruction versus dilation; helps diagnose ureteropelvic junction (UPJ) obstruction and monitor renal function
- Signs: Isthmus signโrenal tissue band crossing the midline anterior to the aorta; Reverse renal rotationโlower poles oriented medially rather than laterally; abnormal renal axis and low position in abdomen
- Frameworks: No formal classification; assessment focuses on anatomy, renal function, and presence of complications such as PUJ obstruction or reflux for management decisions
- DDx: Midline retroperitoneal masses (lymphoma, metastatic nodes) distinguished by lack of continuous renal tissue; solitary ectopic kidney (no isthmus); duplex kidney (no fusion); renal neoplasm in horseshoe kidney distinguished by mass characteristics on imaging
- Tx: Usually no treatment for asymptomatic cases; management of complications including obstruction, stones, infections as per standard protocols; surgical intervention for PUJ obstruction or trauma; recognition important before abdominal surgery or interventions to avoid vascular/structural injury
