What causes the Luftsichel sign on chest radiograph?
Let me know in the comments.
Click to reveal the answer
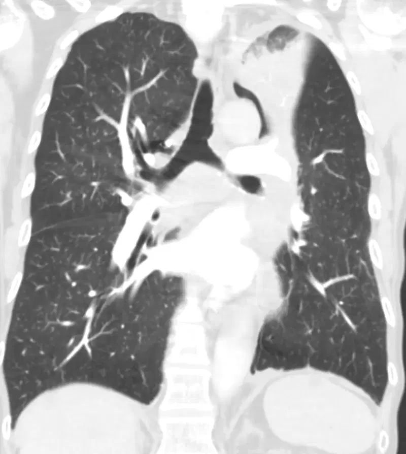
The Luftsichel sign is caused by collapse of the left upper lobe of the lung, most commonly due to bronchogenic carcinoma, mucus plugging, or other obstructive processes. This results in volume loss and atelectasis of the left upper lobe, with compensatory hyperinflation of the superior segment of the left lower lobe. It is most frequently associated with left upper lobe collapse but can also be seen in conditions causing a para-aortic air crescent, such as pneumomediastinum or right lung herniation.
Why is it called so?
The term Luftsichel is derived from the German words luft, meaning air, and sichel, meaning sickle. The name describes the characteristic crescent-shaped (sickle-like) lucency of air seen on chest radiographs between the aortic arch and the collapsed left upper lobe.
Pathophysiology

The collapse of the left upper lobe causes the atelectatic lobe to shift laterally and medially toward the left heart border, obliterating its normal silhouette on the frontal chest radiograph. Meanwhile, the superior segment of the left lower lobe becomes hyperinflated and extends between the collapsed lobe and the aortic arch, producing a crescent of lucency adjacent to the aortic knob. This hyperinflated segment forms the visually distinctive air crescent or “Luftsichel“, representing interposition of aerated lung tissue between the mediastinum and the collapsed upper lobe.

What is the corresponding sign seen in right upper lobe collapse due to a central mass? You can answer in the comments below. Answer.
