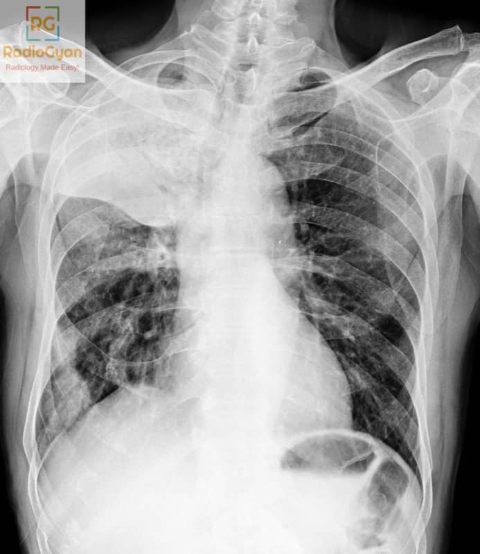
What causes Golden’s S sign in the lung on chest radiograph?
Let me know in the comments.
Click to reveal the answer
Golden’s S sign is caused by a central obstructing lesion, typically a bronchogenic carcinoma, located at the right hilum on an chest radiograph. This mass causes right upper lobe collapse (atelectasis) due to bronchial obstruction. Other causes can include metastatic cancer, enlarged lymph nodes, or any central lesion leading to right upper lobe collapse.

Why is it called so?
The sign is named after Dr. Ross Golden, who first described the sign in 1925. It is called Golden’s S sign because the contour of the right minor (horizontal) fissure and the adjacent hilar mass together form an S-shaped or reversed S-shaped shadow on a frontal chest X-ray.
Pathophysiology
A central mass at the right hilum obstructs the right upper lobe bronchus, causing partial or complete collapse of the right upper lobe. The elevated minor fissure assumes a concave shape laterally and a convex shape medially around the mass, producing the characteristic S-shaped or reversed S-shaped curve. This distortion reflects the opposing forces of lobar atelectasis pulling the fissure upward and the mass expanding the hilum, creating the distinctive radiographic appearance.
What is the corresponding sign seen in left upper lobe collapse due to a central mass? You can answer in the comments below. Answer.
