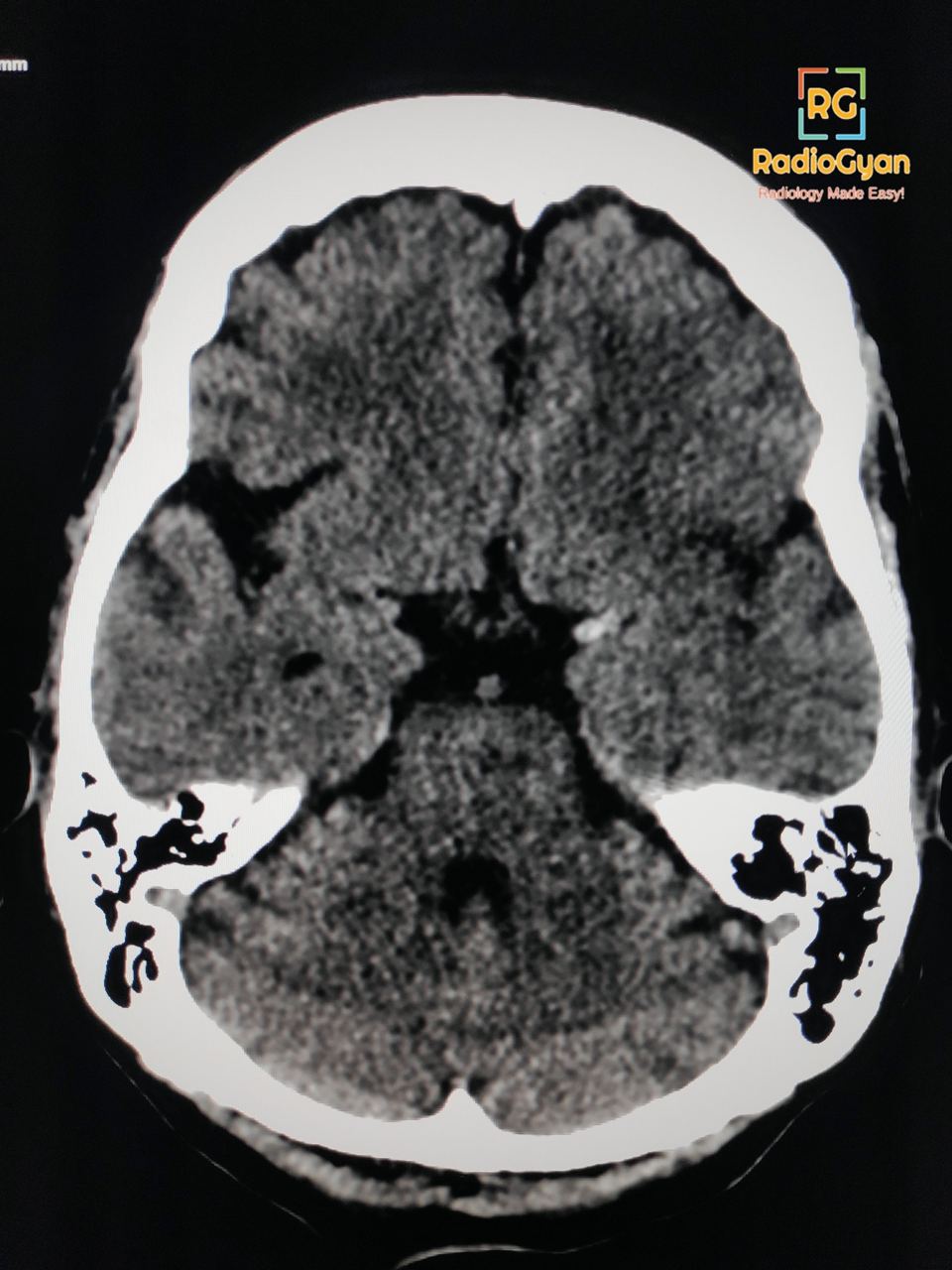
What causes the dense MCA sign in the brain on non-contrast CT?
Let me know in the comments.
Click to reveal the answer
The dense MCA sign is caused by the presence of intraluminal thromboembolic material within the middle cerebral artery, which appears hyperdense on non-contrast CT scans. This condition is often seen early in acute ischemic stroke.

Why is it called so:
The dense MCA sign is named due to the focal hyperattenuation (increased density) observed in the middle cerebral artery, which is visually distinct from the surrounding brain parenchyma on CT imaging.
Learn more: Brain Arterial Vascular Territoriesย
Pathophysiology:
The sign is a result of the higher density of the blood clot compared to the surrounding brain tissue. This increased density is visible on CT scans because the fresh thrombus contains more hemoglobin and other blood components than the surrounding brain tissue, making it appear brighter or more dense. The dense MCA sign therefore indicates an occlusive thromboembolism causing arterial ischemia in the middle cerebral artery territory.
Other associated signs:

