Radiology Spotters Collection

Tension Pneumothorax Overview | Radiology Case

Bookmark
Please login to bookmark Close

Tension Pneumothorax – Radiology Board Review

 

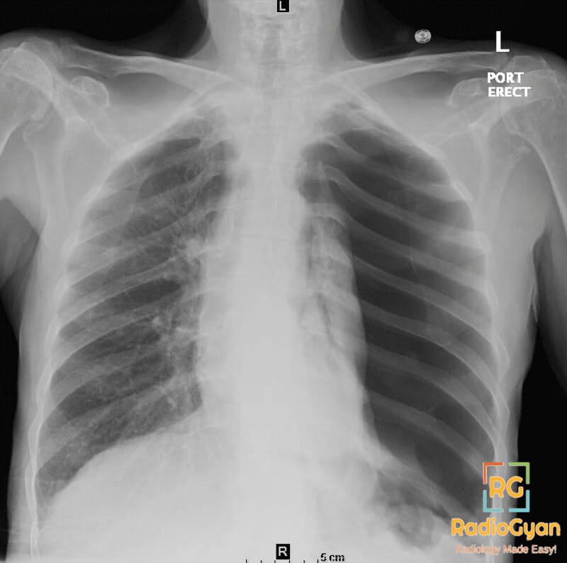
Chest radiograph showing left sided tension pneumothorax
Chest radiograph showing left sided tension pneumothorax with mediastinal shift
  • Clinical: Tension pneumothorax is a life-threatening condition characterized by respiratory distress, tracheal deviation, distended neck veins, hypotension, and decreased breath sounds; it can occur in any age group but is more common after trauma or certain medical procedures.
  • Etiology/Pathophys: Tension pneumothorax occurs when air enters the pleural space but cannot escape, leading to increased intrapleural pressure, which can cause lung collapse, mediastinal shift, and cardiovascular compromise.
  • Radiograph: Key findings include ipsilateral hypertransradiancy, lung collapse, mediastinal shift away from the affected side, depressed diaphragm, and splayed ribs.
  • US: Ultrasound can confirm a pneumothorax, and in the setting of tension pneumothorax, it may show a fixed, dilated inferior vena cava and cardiac tamponade-like signs such as right ventricular underfilling.
  • CT: While not typically used for initial diagnosis, CT scans can provide more detailed images of the lung and pleural space, helping to evaluate complications or underlying conditions.
  • Signs: Deep sulcus sign (depressed diaphragm) and sail sign (mediastinal shift) are notable radiological signs.
  • Frameworks: No specific staging system; diagnosis is primarily clinical.
  • DDx: Cardiac tamponade (right ventricular diastolic collapse), massive pulmonary embolism (sudden onset of hypoxia and hypotension without tracheal deviation).
  • Tx: Immediate needle decompression followed by insertion of a chest tube for definitive management.

Leave a Comment

Your email address will not be published. Required fields are marked *


Wish to be a BETTER Radiologist? Join 15000 Radiology Colleagues !

Enter your email address below to access HIGH YIELD radiology content, updates, and resources.

Email Newsletter Subscription Pop Up

No spam, only VALUE! Unsubscribe anytime with a single click.

Scroll to Top