What causes the Split Pleura Sign in the pleural space on contrast-enhanced CT?
Let me know in the comments.
Click to reveal the answer
Answer:
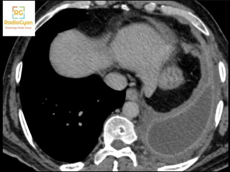
The Split Pleura Sign represents separation and thickening of both the visceral pleura and parietal pleura layers by an accumulation of pleural fluid, most commonly indicating pleural empyema. This sign develops when infected pleural fluid accumulates between the two pleural layers, causing them to become individually visible and separated on imaging.
The sign has high diagnostic utility for distinguishing complicated parapneumonic effusion and empyema from simple parapneumonic effusion, with reported sensitivity of 80.6% and specificity of 74.5%. When only one pleural layer demonstrates thickening without separation of both layers, this is termed the hemi-split pleura sign. The Split Pleura Sign is considered the most reliable CT finding for differentiating empyema from pulmonary abscess and noninfectious pleural effusion, appearing in approximately 68% of pleural empyema cases.
Why is it called so?:
The sign is named for its appearance of the pleural membrane appearing as two distinct split layers rather than a single continuous structure. The descriptive term reflects the visual separation of the visceral pleura (innermost layer) from the parietal pleura (outer layer) by the intervening pleural effusion, creating a characteristic split appearance on cross-sectional imaging.
Pathophysiology:
In pleural empyema, bacterial or fungal infection triggers an inflammatory response within the pleural space. This inflammatory process causes both the visceral pleura and parietal pleura layers to become edematous and hyperenhanced on contrast-enhanced CT. As purulent fluid accumulates and exerts pressure between these two thickened pleural layers, they are mechanically separated and pushed apart. The combination of pleural thickening with fluid separation makes both layers individually conspicuous on imaging, whereas in simple pleural effusion without infection, pleural thickening is typically absent or minimal. The pleural fluid volume typically exceeds 30 mm in thickness when the Split Pleura Sign is present.
Alternative names:
There are no significantly different alternative names for this sign, though the incomplete form is designated as the hemi-split pleura sign when only single pleural layer thickening occurs.
Other associated named signs:
Garland sign and other pleural signs may be associated with empyema pathology, though the Split Pleura Sign remains the primary radiological indicator for distinguishing complicated parapneumonic effusion from uncomplicated effusion.

Access all radiology signs posted so far: https://radiogyan.com/radiology-signs/
