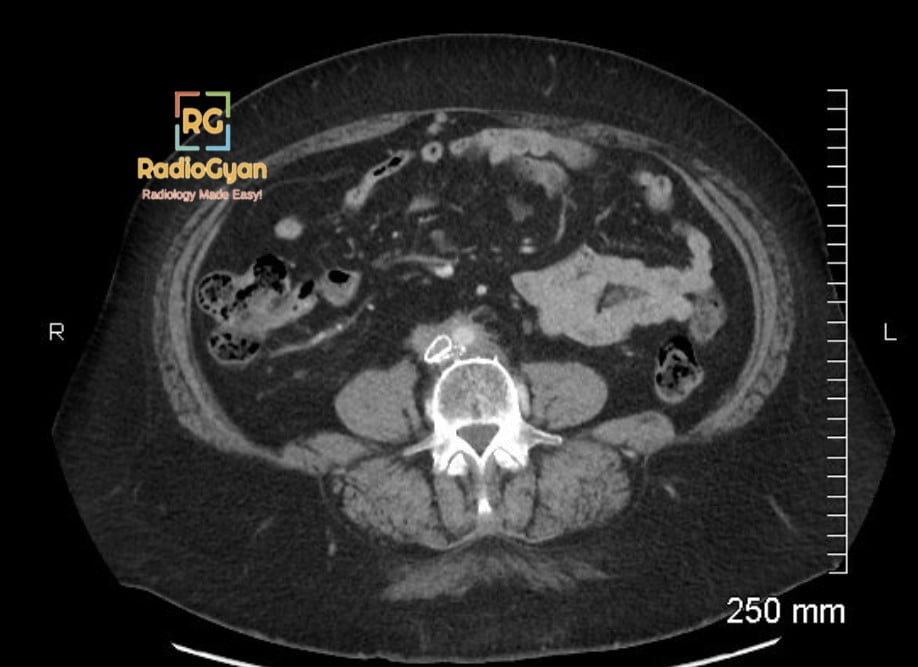
What causes maiden waist deformity in the ureters on imaging?
Let me know in the comments.
Click to reveal the answer
Answer:
Maiden waist deformity is caused by medial deviation of both ureters due to retroperitoneal fibrosis, a condition characterized by abnormal proliferation of fibrous tissue in the retroperitoneal space. This fibrotic process commonly involves the ureters at the level of the lumbosacral junction, leading to their medial displacement and often resulting in ureteral obstruction.

Why is it called so?
The sign is named โmaiden waistโ because the medial indrawing of both ureters produces an appearance resembling the narrow waist of a maiden, reflecting the characteristic shape formed by the converging ureters on imaging.

Pathophysiology
Fibrous tissue proliferation in the retroperitoneum selectively encases and contracts around the ureters, pulling them medially and causing a focal narrowing or โwaistingโ in their course. This mechanical effect leads to the characteristic medial deviation visible on imaging studies such as intravenous urography, CT urography, or MRI.
Alternative names: None
Other associated named signs: None
