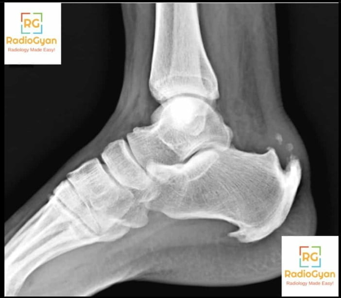
What causes Haglundโs deformity on lateral heel radiographs?
Let me know in the comments.
Click to reveal the answer
This bony prominence, known as Haglundโs deformity, results from abnormal enlargement of the posterosuperior aspect of the calcaneus at the site of Achilles tendon insertion. On lateral heel radiographs, this conspicuous exostosis is clearly visualized and often leads to mechanical irritation of the adjacent retrocalcaneal bursa and Achilles tendon, causing painful inflammation termed Haglundโs syndrome. Clinical features include posterior heel pain, swelling, and tenderness often aggravated by rigid or high-heeled footwear. The deformity may be associated with conditions such as Achilles tendinopathy, retrocalcaneal bursitis, and insertional Achilles tendon degeneration.

Why is it called so?
It is named after Swedish orthopedic surgeon Patrick Haglund who first described the condition in 1927โ1928. The term refers specifically to the bony deformity or exostosis at the posterosuperior calcaneus responsible for the clinical syndrome.
Pathophysiology
The abnormal bony prominence causes repetitive friction and impingement against the retrocalcaneal bursa and Achilles tendon during ankle motion and weight-bearing, especially in patients wearing rigid shoes. This mechanical irritation induces inflammatory changes including bursitis and tendon degeneration or partial tearing. Over time, chronic inflammation may lead to thickening and fibrosis of the bursa and Achilles tendon insertion, creating pain and functional impairment.
Alternative names: Retrocalcaneal exostosis, Mulholland deformity, pump bump
Other associated named signs: Haglund syndrome (clinical manifestation involving deformity, bursitis, and Achilles tendinopathy)
