What causes feline esophagus in the esophagus on double-contrast esophagography? Let me know in the comments.
Click to reveal the answer
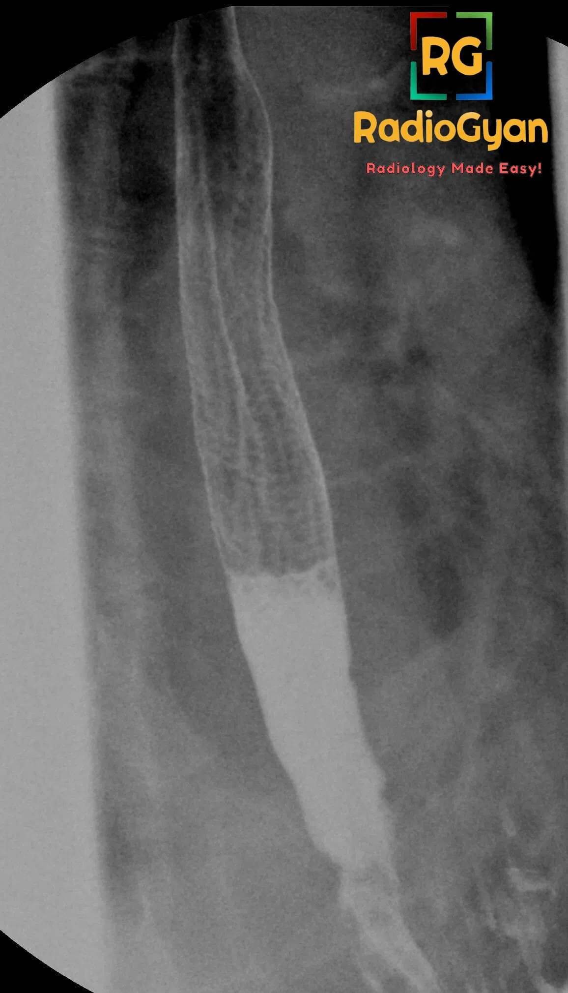
Feline esophagus is caused by the presence of multiple thin, closely spaced transverse mucosal folds seen in the mid to distal thoracic esophagus on double-contrast esophagography. It is most commonly associated with gastroesophageal reflux (GER) and sometimes with hiatal hernia. These folds can appear transiently and represent muscularis mucosa contractions rather than fixed pathology. The clinical condition linked to this sign is gastroesophageal reflux disease (GERD), though it is not directly related to reflux esophagitis or strictures.

Why is it called so?
It is named “feline esophagus” because the radiographic folds resemble the normal fine transverse folds seen in the esophagus of cats.
Pathophysiology
The sign arises from concentric horizontal striations due to longitudinal contractions of the muscularis mucosa layer, causing transient mucosal folds. These folds reflect esophageal motility changes often triggered by acid reflux, but they are usually reversible and not indicative of chronic structural damage. The presence of these folds correlates strongly with episodes of reflux, and patients with marked reflux are more likely to demonstrate the feline esophagus sign.

Credits: Samir at the English-language Wikipedia, CC BY-SA 3.0, via Wikimedia Commons
