What causes a bucket handle tear on MRI of the knee?
Let me know in the comments.
Click to reveal the answer
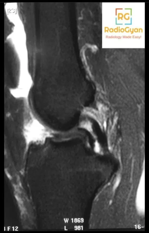
A bucket handle tear is a displaced longitudinal meniscal tear in which an inner central fragment of the meniscus is torn and displaced away from its normal position, typically medially in the lateral meniscus or laterally in the medial meniscus. This lesion is commonly associated with acute knee trauma and often occurs alongside anterior cruciate ligament (ACL) injuries. It leads to mechanical symptoms including joint locking due to the displaced meniscal fragment obstructing normal knee motion.
Why is it called so?
It is named a “bucket handle tear” because the displaced inner fragment of the meniscus resembles the curved handle of a bucket, while the remaining meniscal tissue corresponds to the bucket itself.
Pathophysiology
The meniscus sustains a vertical longitudinal tear that detaches a central fragment, which then displaces into the intercondylar notch, often flipping anteriorly or medially. This displaced fragment creates a mechanical block in the knee joint. On MRI, the tear alters normal meniscal morphology and spatial orientation, allowing the fragment to be recognized by characteristic signs such as the double posterior cruciate ligament (PCL) sign when the displaced medial meniscal fragment lies anterior and parallel to the PCL.
Alternative names: None
Other associated named signs:
- Double PCL sign (medial meniscus)
- Flipped meniscus sign
- Absent bow tie sign
- Double ACL sign (for lateral meniscus bucket handle tears)
- Meniscal fragment in the intercondylar notch sign


