Liver Abscess – Radiology Board Review

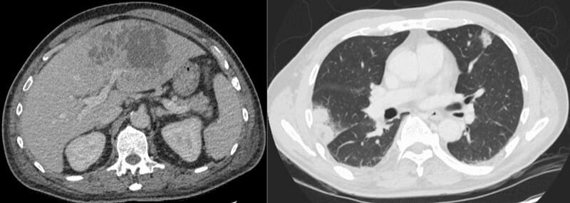
This is a CT scan showing a liver abscess within the liver parenchyma (left image) and multiple septic emboli (lung abscesses/nodules) scattered throughout both lungs (right image), consistent with disseminated infection.
- Clinical: Typically adults; fever, right upper quadrant pain, malaise, chills; risk factors include diabetes, malignancy, immune suppression, biliary disease, septic emboli; disseminated infection presents with liver abscess and septic pulmonary emboli
- Etiology/Pathophys: Pyogenic or amebic liver abscess due to bacterial or parasitic infection; liver abscess acts as a nidus for septic emboli that seed lungs causing lung abscesses or nodules
- Radiograph: Multiple bilateral lung nodules or cavitating nodules representing septic emboli; may see patchy infiltrates or lung abscesses; hepatic silhouette may be normal or enlarged
- US: Liver abscess appears as a hypoechoic or complex cystic lesion with irregular margins; often low-level internal echoes, sometimes septations; may show posterior acoustic enhancement
- CT: Liver abscess shows a centrally hypodense lesion with peripheral ring (rim) enhancement (“double-target sign”); may contain gas; segmental perfusion abnormalities adjacent; multiple bilateral peripheral lung nodules or cavitary lesions representing septic emboli
- MRI: Abscess cavity hypointense on T1, hyperintense on T2; peripheral rim enhancement on post-contrast T1; restricted diffusion on DWI in cavity and rim; perilesional edema with T2 hyperintensity; lung abscesses rarely imaged by MRI
- Nuc Med: Radiolabeled leukocyte scans or FDG-PET can show focal uptake in abscess and septic emboli; useful for detecting occult sites of infection
- Signs: Double-target sign (central hypodense cavity, inner enhancing rim, outer hypodense edema) in liver abscess on contrast CT; Cluster sign (aggregation of multiple small abscesses coalescing) in liver; pulmonary septic emboli appear as multiple cavitary nodules
- Frameworks: Liver abscesses classified by morphology on CT (Type I: ragged edges/incomplete wall; Type II: complete rim enhancement; Type III: wall without enhancement); severity guides intervention strategy
- DDx: Liver cyst (no enhancement, no rim); necrotic tumor (irregular margins, no peripheral edema); metastases (well-defined margins, no restricted diffusion rim); pulmonary septic emboli vs. vasculitis or metastases (clinical context, infectious signs favor septic emboli)
- Tx: Broad-spectrum IV antibiotics; percutaneous drainage or aspiration for large abscess or complicated cases; treat underlying source of infection; supportive care for septic emboli
