
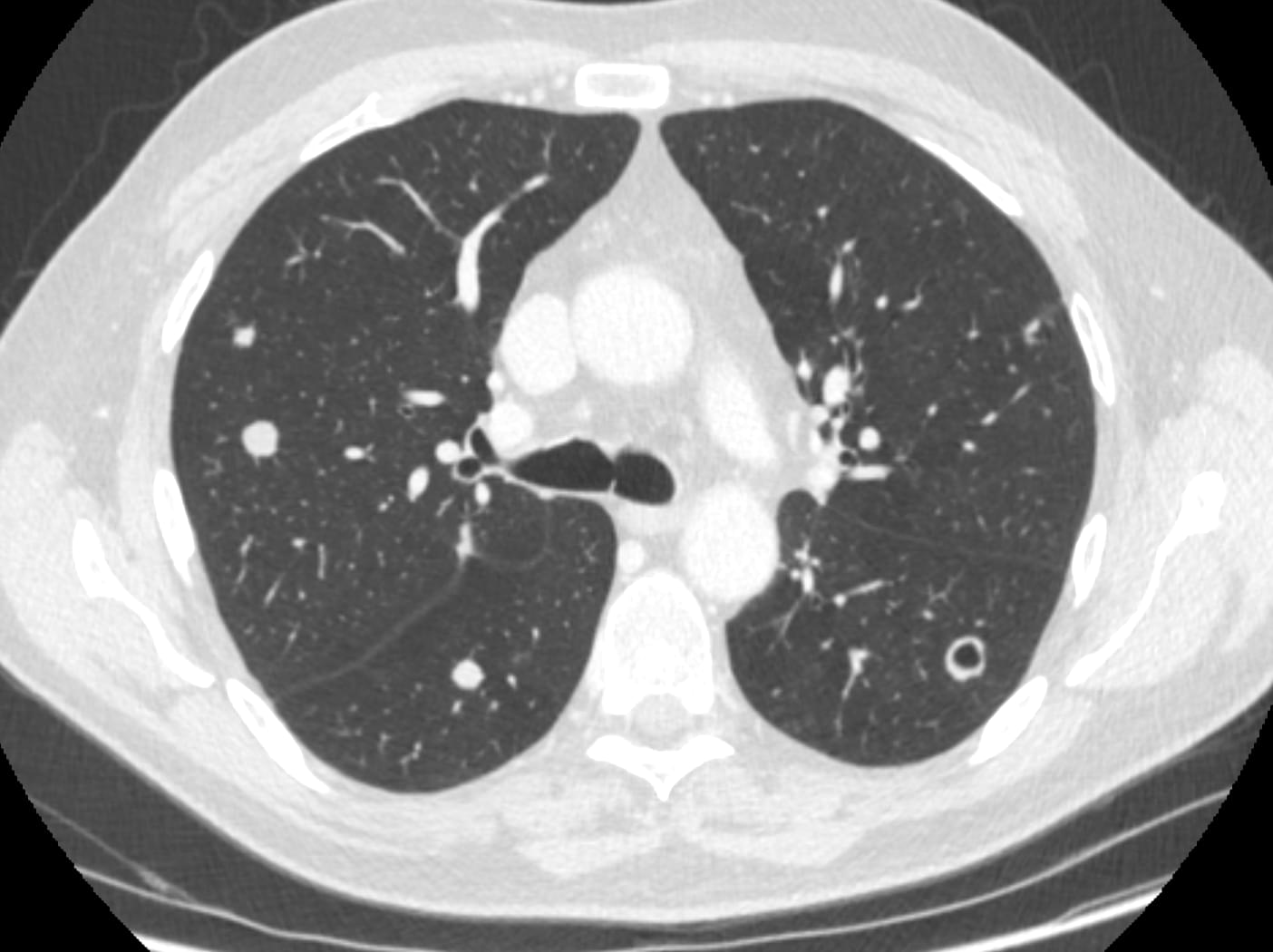
Here is an example of a cavitating lung metastases in a patient with colon cancer.

Metastases from which primary malignancy are known to cause pneumothorax?

Remember CAVITY for causes of Pulmonary Cavity
C – Cancer – MC: Squamous cell carcinoma
A – Autoimmune – Granulomatosis with polyangiitis / Rheumatoid arthritis
V- Vascular – Pulmonary emboli (blend or septic)
I – Infection – Bacterial or Fungal
T -Trauma – Pneumatocele
Y- Youth – CPAM/ Bronchogenic cyst / Pulmonary sequestration
Check out more visual mnemonics here:
