FRCR Exam: THE Most Comprehensive Guide (2022)! Read More ยปFRCR Exam: THE Most Comprehensive Guide (2022)!
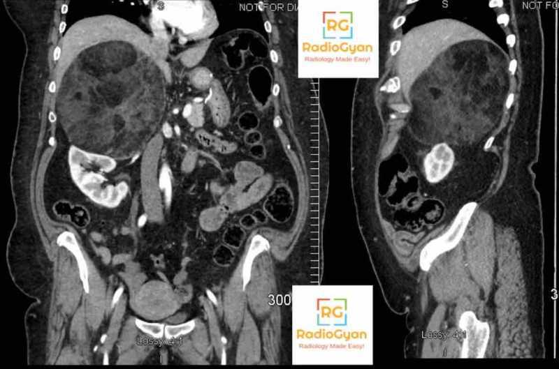
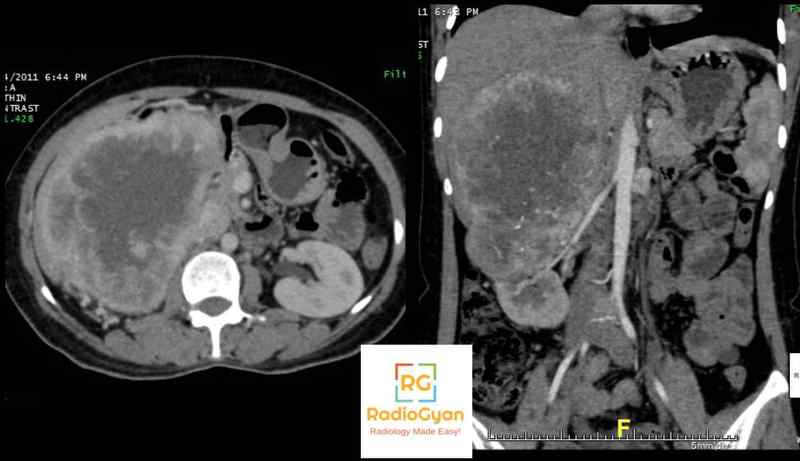
Genitourinary Radiology Cases – Spotter Set 9 Read More ยปGenitourinary Radiology Cases – Spotter Set 9