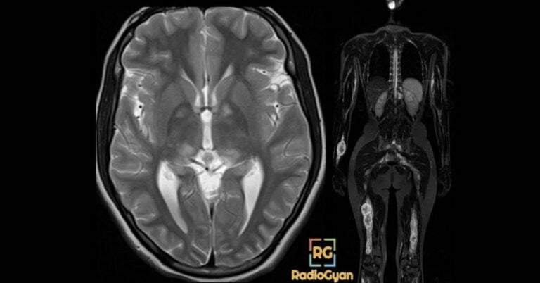
Neurofibromatosis (NF) – ALL You Need to Know!
Neurofibromatosis imaging primer for clinicians: NF1/NF2, diagnostic criteria, and key radiology signs to aid diagnosis.
Copy and paste this URL into your WordPress site to embed
Copy and paste this code into your site to embed