Radiology Spotters Collection

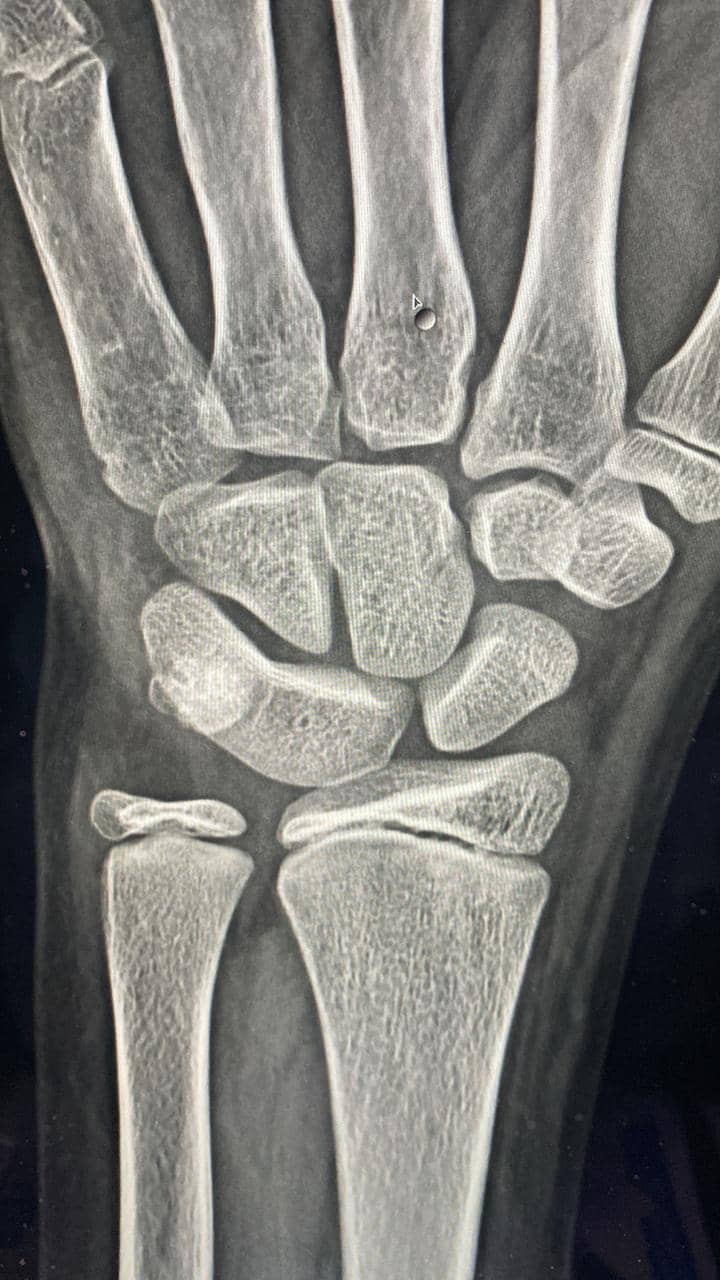
Lunotriquetral Coalition

Bookmark
Please login to bookmark Close
Lunotriquetral coalition
  • Congenital fusion of the lunate and triquetral bone.
  • Most common carpal coalition. Companion question: Which is the most tarsal coalition? Let me know in the comments below!
  • Like all coalitions it can be osseous, fibrous or cartilaginous. The latter two would be difficult to pick up on radiographs.
  • Asymptomatic in most cases requiring no further management.
  • Associated syndromes with lunotriquetral fusion:

The second most common carpal coalition is capitohamate coalition:

AP and lateral wrist X-rays showing a capitohamate coalition, an incidental carpal fusion.
Capitohamate coalition (incidental finding) on wrist X-ray.

Read more:

Normal anatomy of carpal bones:

Normal Anatomy of Carpal Bones ()

Mnemonic for carpal bones: She Looks Too Pretty, Try To Catch Her (radial to ulnar)

Proximal row

  • Scaphoid -MC carpal bone to fracture
  • Lunate
  • Triquetral
  • Pisiform – Smallest carpal bone.

Distal row

  • Trapezium
  • Trapezoid
  • Capitate – Largest carpal bone
  • Hamate

More radiology mnemonics ๐Ÿ‘‡

Case shared by Dr. Utkarsh Bhingare.

References:

  1. Lunotriquetral Coalition: An Unusual Cause of Wrist Pain
  2. https://www.scientificanimations.com, CC BY-SA 4.0 https://creativecommons.org/licenses/by-sa/4.0, via Wikimedia Commons

2 thoughts on “Lunotriquetral Coalition”

  1. The Radiodiagnosis

    Well written article. I would love the opportunity to write guest posts for your blog as it will help my radiology blog as well. Please let me know if you’re willing to consider my request. Thanks.

    1. Dr. Amar Udare, MD

      We are not accepting guest posts currently.

Leave a Comment

Your email address will not be published. Required fields are marked *


Wish to be a BETTER Radiologist? Join 15000 Radiology Colleagues !

Enter your email address below to access HIGH YIELD radiology content, updates, and resources.

Email Newsletter Subscription Pop Up

No spam, only VALUE! Unsubscribe anytime with a single click.

Scroll to Top